
Efficacité de la Chiropraxie
15 février 2024
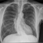
Scoliose enfant
19 février 2024Grossesse saine → Bébé sain
Pendant sa grossesse la femme est confrontée à de nombreux changements :
- changements hormonaux importants
- augmentation de la tension de nombreux muscles, tendons, ligaments…;
- prise de poids
Tous ces changements peuvent se révéler douloureux, allant de la douleur au bas du dos ou à l’aine, jusqu’à la sciatique paralysante.
Il existe des techniques simples en chiropratique pour éviter ou soigner ce genre de problèmes.
Il faut bien comprendre que si vous avez des douleurs dans le bas du dos, vous avez obligatoirement des tensions dans les muscles du bassin et du périnée, ce qui gênera obligatoirement le bon positionnement de votre « bébé », et rendra votre accouchement beaucoup plus difficile, douloureux et long. Les répercussions sur le fœtus sont alors très nombreuses. Le recours à la Chiropratique pendant cette période est très importante afin de vous soigner, d’enlever vos douleurs, d’éliminer les tensions anormales au niveau du bassin et de l’utérus et donc au niveau de votre bébé et ainsi lui permettre de se développer dans des conditions idéales. Cela vous permettra également d’avoir un accouchement beaucoup plus court et beaucoup moins traumatisant pour le bébé.
Preuves à l’appui
Un suivi chiropratique régulier pendant votre grossesse peut diminuer de façon significative le temps de travail et toutes les douleurs liées à la grossesse, comme on le voit régulièrement en cabinet et comme le montre ces deux études.
- Pour les femmes suivies en chiropratique pendant la grossesse, le temps de travail lors de l’accouchement diminue en moyenne de 24% par rapport à un groupe de femmes non suivies. Fallon J., »the effect of chiropractic treatment on pregnancy and labor: a comprehensive study » 1991
- 84% des patients ayant reçu des ajustements chiropratiques pendant leur grossesse ont mentionné avoir ressenti un soulagement des douleurs du bas du dos. Elles ont également moins ressenti de douleur au dos lors des contractions lorsque les soins chiropratiques ont été suivis durant la grossesse. Diakow P.R., Gadsby T.A., Gleddie J.G., Lepich D.J., Scales A.M., « back pain durring pregnacy and labor », JMPT,1991, 14(2),116-8.

